Is there an easy fix for tooth decay?
The human body has the ability to heal itself. Broken skin or bones can heal on their own. However, tooth enamel cannot heal on its own. According to the American Dental Association, tooth enamel does not contain living cells, therefore it has no ability to wear or repair on its own.
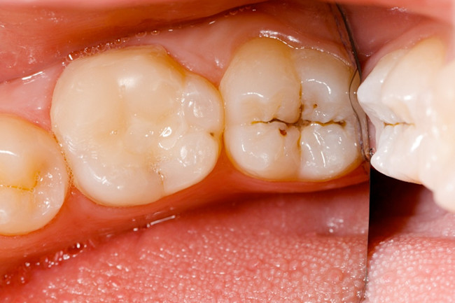
Contrary to posts on the Internet saying there are natural ways to get rid of dental caries, one simply cannot get rid of such in a couple of days on their own. The moment the decay hits the softer part of the enamel and reaches the tooth structure, the situation could get worse. Dr. Kami Hoss says that the only way to effectively get rid of cavities is by having it treated by a professional.
If the cavity is in its early stage, a dentist would perform a basic filling treatment by removing the portion of the tooth with the decay. The dentist then cleans the part of the tooth with the cavity to get it ready for the filling. The filling material covers the area where the cavity used to be.
In worse cases where cavities hit the dentin or pierce through the tooth pulp, more complicated treatments will be needed, such as root canal. To prevent the teeth from forming dental caries, be sure to visit the dentist regularly to receive professional advice on oral health. Natural remedies may help with prevention, but these should never be substituted for professional treatments needed to fix a damaged tooth, advises Dr. Kami Hoss.
Dr. Kami Hoss, DDS, MS, holds a master’s degree in craniofacial biology and a doctorate in dental surgery. He also served as an associate professor at the University of Southern California’s Orthodontics Department. Follow Dr. Kami Hoss on Twitter for more updates.
![]() |
Image source: womenshealthmag.com
|
![]() |
Image source: discovermagazine.com
|
If the cavity is in its early stage, a dentist would perform a basic filling treatment by removing the portion of the tooth with the decay. The dentist then cleans the part of the tooth with the cavity to get it ready for the filling. The filling material covers the area where the cavity used to be.
In worse cases where cavities hit the dentin or pierce through the tooth pulp, more complicated treatments will be needed, such as root canal. To prevent the teeth from forming dental caries, be sure to visit the dentist regularly to receive professional advice on oral health. Natural remedies may help with prevention, but these should never be substituted for professional treatments needed to fix a damaged tooth, advises Dr. Kami Hoss.
Dr. Kami Hoss, DDS, MS, holds a master’s degree in craniofacial biology and a doctorate in dental surgery. He also served as an associate professor at the University of Southern California’s Orthodontics Department. Follow Dr. Kami Hoss on Twitter for more updates.


Comments
Post a Comment